歯を削らずにキレイにできる審美歯科
「削らないラミネートベニア」(NonPrepVeneer)とは

削らないラミネートベニア(NonPrepVeneer)は天然歯を削らずにダメージすることなく審美的な治療を行うことが出来ます(もちろん従来法の様に削って処置することも出来ます)。
前歯の審美歯科治療を行うとき、従来の方法(セラミッククラウン、ラミネートベニア)では天然歯の切削が必要でした。もちろんキレイな歯は素晴らしいですし、そのために適切な切削を行いより良い審美性を獲得することは、患者様にとって多くのメリットがあると考えています。
しかしながら、当院ではより低侵襲で体に優しい、健康を犠牲にしないような審美歯科治療が望ましいと考えています。

従来型のラミネートベニア法による治療法では、自分自身の歯を 大きく削る必要がありました。
削らないラミネートベニアはご自身の歯を大きく削る必要がなく、歯を削ることにより起きる様々な不快症状がありません。

従来型のラミネートベニア法による治療法では、自分自身の歯を 大きく削る必要がありました。



削らないラミネートベニアはご自身の歯を大きく削る必要がなく、歯を削ることにより起きる様々な不快症状がありません。
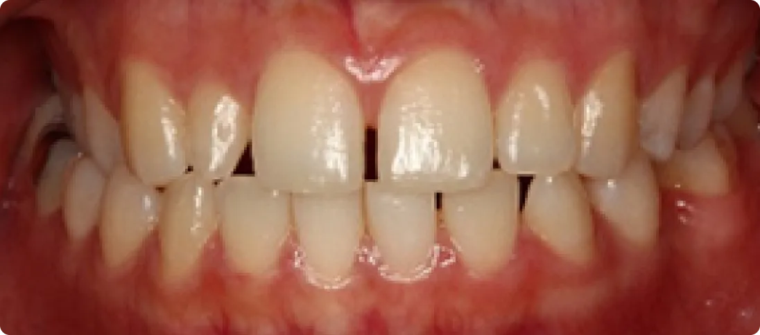
削らないラミネートベニア症例
Case 1. 上前歯8本 ラミネートベニア


削らないラミネートベニアで歯の色・歯の形を改善した症例です。ラミネートベニアは前歯をキレイに華やかにすることができます。
お顔と調和しスマイルラインに沿った美しい仕上がりになりました。ラミネートベニアの色は明るい白を選ばれ、お口元の印象がすごく整いました。
リスクと副作用 | 削らないラミネートベニアは削らないので接着するので、元の歯よりも少し厚く大きくなります。この症例のように歯を大きくすることはできますが、歯を小さくしたり出っ歯は治せません。 |
---|---|
治療費 | 544,500円(税込) |
治療期間 | 4週間 |
Case 2. 上前歯6本 ラミネートベニア


削らないラミネートベニアですきっ歯・歯の色・歯の形を改善した症例です。
すきっ歯の改善はラミネートベニアが最も得意とする症例の1つです。
歯の隙間をなくし、スマイルラインに沿った美しい仕上がりになりました。ラミネートベニアの色は明るい白を選ばれ、お口元の印象がすごく整いました。
リスクと副作用 | 削らないラミネートベニアは削らないので接着するので、元の歯よりも少し厚く大きくなります。この症例のように歯を大きくすることはできますが、歯を小さくしたり出っ歯は治せません。 |
---|---|
治療費 | 412,500円(税込) |
治療期間 | 3週間 |
Case 3. 上前歯8本 ラミネートベニア


削らないラミネートベニアで歯の色・歯の形・ガミースマイル(歯肉が見える)を改善した症例です。
ガミースマイル改善のために歯肉整形(歯肉を切る処置)を、全体にはホワイトニングをしました。そのうえで前歯8本にラミネートベニアを行っています。
リスクと副作用 |
削らないラミネートベニアは削らないで接着するので、元の歯よりも少し厚く大きくなります。(この症例のように歯を大きくすることはできますが、歯を小さくしたり出っ歯は治せません。) セラミッククラウンに比べると色味の調整がしずらく、透明感が出しにくいです。なので1本だけで治すのには向きません。6本や8本で行うことが多いです。 当院で行える歯肉整形は比較的に軽度なガミースマイルが対象です。口腔外科や美容外科で行っているような骨切り手術(Le Fort手術)や口唇粘膜を切開縫合する手術などは対応していません。 |
---|---|
治療費 | 632,500円(税込) |
治療期間 | 1.5ヶ月 |
Case 4. 上前歯8本


削らないラミネートベニアですきっ歯・歯の形を改善した症例です。
全体的にホワイトニングを行い、そのうえで前歯8本にラミネートベニアを行いました。
リスクと副作用 | 削って被せるセラミッククラウンに比べると強度や耐久性は劣ります。この症例のラミネートベニアは支台の歯を削っていません。 |
---|---|
治療費 | 632,500円(税込) |
治療期間 | 1.5ヶ月 |
前歯の審美歯科治療のポイント
前歯をキレイにするには、治療の際に抑えなければならないポイントがあります。
歯の切削量が最小限であること
歯の形や色や並びを改善するために歯の切削が必要となる場合があります。それが最小限であるに越したことはないと考えます。
健康的な方法であること
ホワイトニングやクリーニング、矯正治療や削らないベニアなどの「歯をできるだけ削らない方法」で「健康的な方法」を優先すること
レジン系の材料でないこと
ハイブリッドなどのレジン系の材料は吸水性があり細菌が繁殖しやすい環境になってしまい不衛生です。
数ヶ月~1年程度で除去するのであれば良いかとも思いますが、長期間の使用は歯や歯肉の健康を害してしまいます。マニキュアやハイブリッドベニアなどは長期の使用は避けるべきです。
削らないラミネートベニアはハイブリッド材料での製作も出来ますが、衛生的で健康的な材料としてe.maxもしくはジルコニアを推奨しています。
削らないラミネートベニア適応症
削らないラミネートベニアが適している症例は下記です。

- 着色歯、失活歯(神経のない歯)、変色歯(テトラサイクリン歯、黒ずんだ歯、黄ばんだ歯、茶色い歯など)の改善
- すきっ歯(正中離開、空隙歯列)の改善
- ブラックトライアングル(前歯歯間部の三角の隙間)の改善
- プラスチック治療(コンポジットレジン樹脂の治療)で修復してある歯の改善
- 前歯の歯列不正(デコボコや不揃い)の改善
- 形態不良の歯(欠けている歯、すり減りで薄く透けてしまっている歯、酸食歯など)の改善
- ホワイトニングよりも白くキレイな歯にしたい方
削らないラミネートベニア非適応症
削らないラミネートベニアがあまり適さない症例は下記です。

- 出っ歯や重度の叢生(歯の重なり)
(ラミネートベニアは貼りつける方法なので、ボリュームを抑えることは難しいです。セラミッククラウンほど歯並びは改善できません。) - 下の前歯においては脱離の可能性があります。
(従来のラミネートベニアの様に切削すれば治療可能です。もしくはセラミッククラウンの適応になります。) - 進行性の虫歯
(まず虫歯治療が優先されます。) - 進行性の歯肉炎・歯周病
(まず歯肉炎・歯周病の治療が優先されます。) - その他の歯科的な状態(歯の欠損、咬み合わせ、歯並び)が良くない方
(それらの歯科治療が優先である場合があります。) - 今すぐに白くキレイにしないといけない方
(削らないラミネートベニアは診断・治療と製作工程で、通常3週間以上はかかります。)
(1日で1回で白くキレイにしたい場合には歯のマニキュア(ホワイトコート)の選択肢があります。)
治療の流れ
step1.予約・初回相談

当院へお電話にてご予約をお取りください。初回のご来院時には、患者様からどのようなご希望があるかを伺い、どのように治療を提案できるのかを話し合っていきます。削らないラミネートベニアをご希望される場合には、診断用模型の型取りや、歯の写真撮影などを行います。
※当院の削らないラミネートベニアはスーパーエナメルやルミネアーズではありません。
step2.治療計画

歯並びや咬合わせなどを診断し、具体的な治療計画を提案していきます。ご希望があればシミュレーション用のプラスチック材料を歯に装着して、実際に削らないラミネートベニアを貼るとどんなイメージになるのかを見てもらうこともできます。
step3.治療決定・型取り製作依頼

削らないラミネートベニアの治療計画が確定したら、製作用の精密型取りと写真撮影を行います。削らないラミネートベニアの透明度や色を選んでいきます。削らないラミネートベニアの技工物の製作期間が必要ですが、歯を削らないため治療期間中の状態はいつもと変わらないので仮歯などのご不自由はありません。
step4.削らないラミネートベニア完成・試し合わせ

製作された削らないラミネートベニアの試し合わせを行います。削らないラミネートベニアは超極薄のセラミックスなので、審美性を向上させるため色味の選べる特別なセメントを用います。そのセメントの色味を確認しながら、削らないラミネートベニアを実際に試し着けします。
step5.削らないラミネートベニアセット・調整

セットの当日には下地になる歯面を綺麗にクリーニングした後、厳密な管理の下で時間をかけて接着を行っていきます。削らないラミネートベニアは繊細で高度な極薄セラミック治療です。咬合調整と研磨はセット当日およびあらためて後日にしっかりと行います。接着後も長期にわたって正しく清潔にご使用いただくため、半年ごとのメンテナンスをお勧めしています。
削らないラミネートベニア Q&A
- 削らないラミネートベニアは本当に歯を削らないのですか?
- 従来の方法とは違って、削らない治療がコンセプトです。
削らずに極薄のラミネートベニアを貼りつける方法です。多くのケースで歯を削らず接着することが可能です。従来法のラミネートベニアではおよそ0.6mm~1.2mm歯を削る必要がありました。しかし、削らないラミネートベニアは強度に優れており極薄に作ることが可能なので、多くの場合で歯を削る必要がありません。(厚みの調整や歯並びや審美的な理由などで、従来法のように削って治療することも可能です。上前歯の形を変える場合には咬み合わせの調整のため、対合歯の下前歯を切削します。)また、歯を削らないので麻酔をしません痛みもありません。治療期間時の仮歯で過ごすわずらわしさもありません。歯に優しい審美歯科治療法です。 - 削らないラミネートベニアはどのような素材ですか?
- ハイブリッドベニア、e.maxベニア、ジルコニアベニアの3種類があります。 ハイブリッドはレジン系(プラスチック)の材料で比較的リーズナブルで扱いがし易いという利点はありますが、長期使用では細菌が繁殖しやすく衛生的ではないため当院では推奨していません。 世界的にも新しい審美歯科材料として使われているivoclar社のセラミックe.maxです。従来法のラミネートベニアに用いられているセラミックの約4倍の400MPaという強度を持つ二ケイ酸リチウムというセラミックです。生体親和性に優れ衛生的で、色調、接着システムにも優れた安心安全の材料です。 またジルコニアは強度が1200MPaあり歯科材料の中でも金属に次ぐ強度がある材料で、ベニア治療においても600Mpaという現状では最も強度がある高級材料です。また医科では人工関節として体に直接埋め込むような材料でもあり、安全性や生体親和性に優れた材料です。歯科用のジルコニアはかなり改良が進んでいます。削らないラミネートベニアに用いるジルコニアも色調や審美性と接着が改良されたものを扱っています。
- 従来のラミネートべニアとどのような違いがありますか?
- 従来型のラミネートべニアは、天然歯を削ることによりベニア材料と歯との接着力を持たせ強度を確保する考え方でした。削らないラミネートベニアは歯を削らずに審美治療を行うのがコンセプトです。また、元々の歯の表面全体で接着させて強度を保ちます。エナメル質を温存できるため、長期的にも健康的に安定しやすいです。
- 通院回数や時間はどのくらいかかりますか?
- 削らないラミネートベニアの工程だけについて言えば、型取りと装着との最短で2回の来院で可能です。
通常は患者様の希望や状況のヒアリングから診断・治療計画・カウンセリングを行い、治療方針が決定してから削らないラミネートベニアの工程に入ります(3回~5回)。また、虫歯治療や歯周病治療を行ってから削らないラミネートベニアの工程に入る場合もあります。口腔内の状態に問題がなく治療方針が決定されている場合には、最短2回の来院で治療が可能です。 - 前歯1本だけ削らないラミネートベニアをできますか?
- 4本や6本、8本など左右対称に治療した方が審美的に有利です。
削らないラミネートベニアはとても審美的な材料ですが、若干の厚みがあるので隣の歯と全く同じ様に完成させるのは難しい場合があります。周囲の歯と調和させるためには4本や6本、8本など左右対称に治療した方が審美的に有利です。削らない審美歯科治療なので、多数歯の治療においてもダメージが最小限で有利な治療法です。 - 歯ぎしりが強いのですが、割れたり剥がれたりしませんか?
- 歯ぎしりの物理的力は天然歯にとっても削らないラミネートベニアにとっても負担になります。ラミネートベニアはセラミッククラウンに比べ強度や耐久性が劣ります。ラミネートベニアはクラウンに比べて脱離の可能性が高いです。(削らないラミネートベニアは歯を削ってはいませんので、他の方法に比べ歯へのダメージは最小限です。)歯ぎしりや咬み合わせの診断は実際の口腔内診断や模型診断にて行います。夜間に歯を守るナイトガード(歯ぎしり防止マウスピース)で緩和されることも行います。歯ぎしりによるダメージについては、ラミネートベニア脱離のリスクを理解した上で慎重に治療計画を行う必要があります。
- 削らないラミネートベニアを除去し、元の状態に戻すことはできますか?
- 基本的には元の状態のようにできます。
削らないラミネートベニアはご自身の歯を削りませんので、除去しても元々の歯が残っていますからほぼ元通りにできます。それが一般的に流通している従来法のべニア(削ってべニアを貼る方法)とは異なる点です。しかしながら、削らないラミネートベニアは最大限の接着強さでご自身の歯の表面に貼り付けてありますので、その除去は非常に大変な作業でとても慎重に行う必要があります。その際、除去に関しても費用がかかります。歯の表面から最大限の接着強さの接着剤を削り取るため、歯の表面は元々と全く同じ質感やツヤ感には戻せないこともあります。
削らないラミネートベニアは基本的には何度でも取り換えることが可能です。その点において他の審美治療に比べ再治療が大変に有利なのがメリットです。例えば、歯の色の好みが変わったり、新しくキレイにやり替えたい場合には、除去して新しいラミネートベニアやセラミッククラウンに変えることも可能です。


料金表
プレミアムベニアe.max(1本) ラミネートベニアでも高品質な審美性 |
99,000円(税込) |
---|---|
プレミアムベニアZr(1本) プレミアム品質のジルコニアベニア |
121,000円(税込) |
ノーマルベニアe.max(1本) 進化型の削らないセラミック審美 |
66,000円(税込) |
---|---|
ノーマルベニアZr(1本) ジルコニアでもリーズナブルな審美 |
71,500円(税込) |
ノーマルベニアHybrid(1本) 削らないハイブリッドベニア |
44,000円(税込) |
ベニア処置料(1ケース) | 16,500円(税込) |
---|
- 治療期間は約3週間~1.5ヶ月程度(3~6回程度)です。
- 削らないラミネートベニア(NonPrepVeneer)は従来のラミネートベニアやセラミッククラウンと異なり、削らないで審美的にキレイにできます。(部分的に削って行うことも可能です。)
- ラミネートベニアはセラミッククラウンに比べると強度や耐久性が劣ります。
- ラミネートベニアは上前歯8本や6本で行います。ラミネートベニアは1本だけには向きません。
- 下の歯にはラミネートベニアは基本的には行えません。
- 削らないラミネートベニアはすきっ歯を治したり歯を大きくすることは可能ですが、歯を小さくしたり出っ歯を治すことはできません。(歯を削って行うことも可能で歯並びをそろえてキレイにすることもできます。)
- ベニア処置料はラミネートベニアの1ケース(1本でも8本でも)について請求します。